![]()
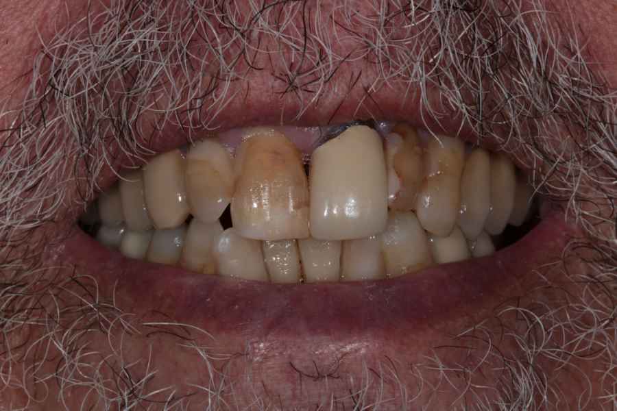
Η ασθενής προσήλθε στο ιατρείο...
Περιστατικό 1
![]()
Το αισθητικό πρόβλημα που...
Περιστατικό 1
![]()
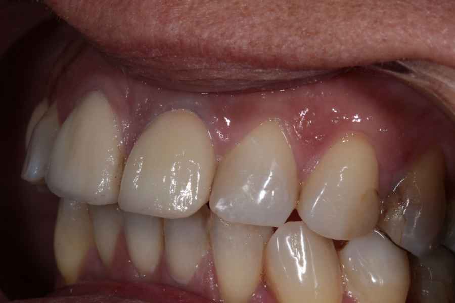
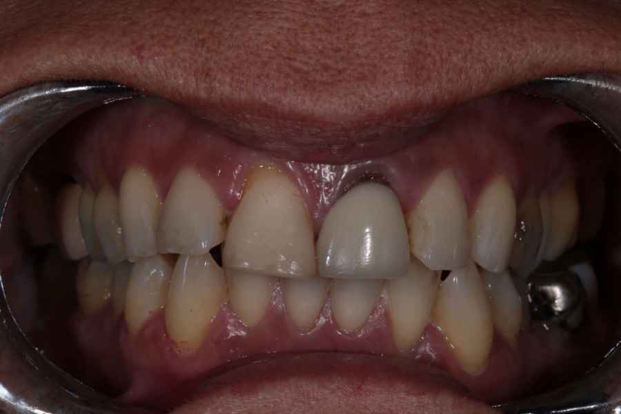
Οι δυο κεντρικοί παρασκευάστηκαν...
Περιστατικό 1
![]()
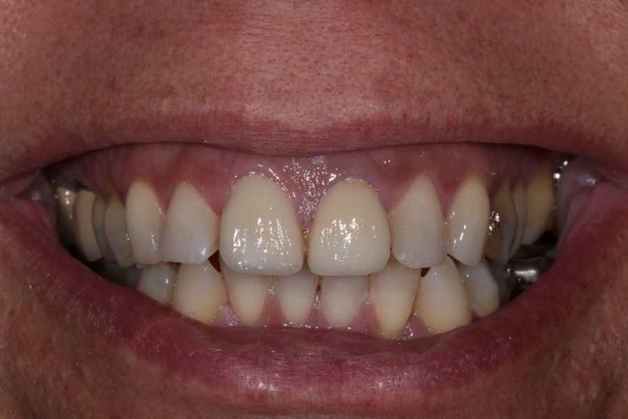
Δόθηκε νέο χρώμα και...
Περιστατικό 1
![]()
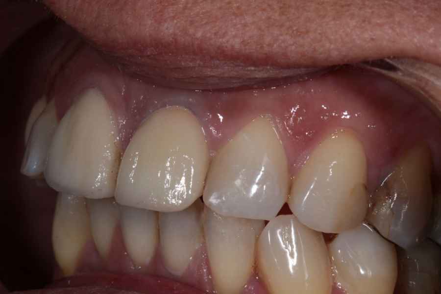
Η έντονη χρωματική διαφορά του...
Περιστατικό 2
![]()
Με την κατασκευή καινούριας...
Περιστατικό 2