![]()
H ασθενής μας ανέφερε...
Περιστατικό 1
![]()
Προχωρήσαμε στην τοποθέτηση...
Περιστατικό 1
![]()
Η ασθενής προσήλθε...
Περιστατικό 2
![]()
Της προτάθηκε εξαγωγή...
Περιστατικό 2
![]()
Μετά τις εξαγωγές...
Περιστατικό 2
![]()
Τελική φωτο...
Περιστατικό 2
![]()
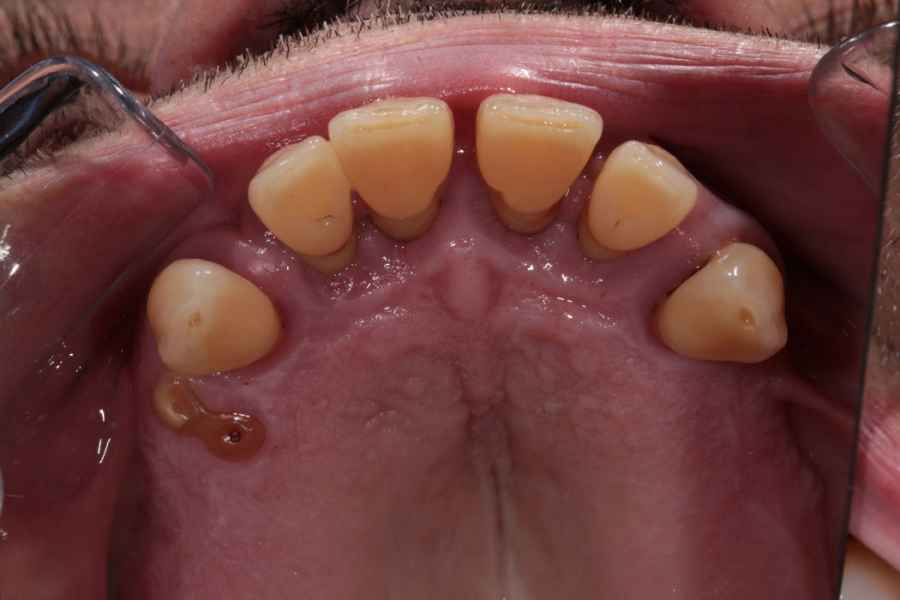
Μετά την επούλωση...
Περιστατικό 3
![]()
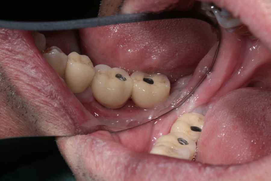
Μετά την επούλωση...
Περιστατικό 3
![]()
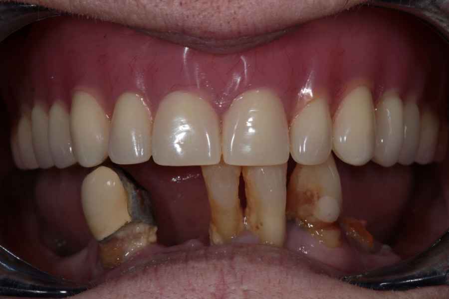
Τελική φωτο...
Περιστατικό 3
![]()
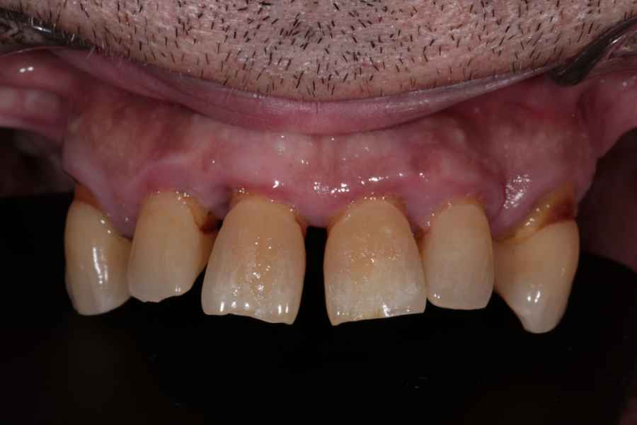
Τελική φωτο...
Περιστατικό 3
![]()
Ο ασθενής είχε έλλειψη...
Περιστατικό 4
![]()
Κατά την κατασκευή
Περιστατικό 4
![]()
Επιεμφυτευματική κοχλιούμενη...
Περιστατικό 4
![]()
Πλάγια όψη της εργασίας
Περιστατικό 4
![]()
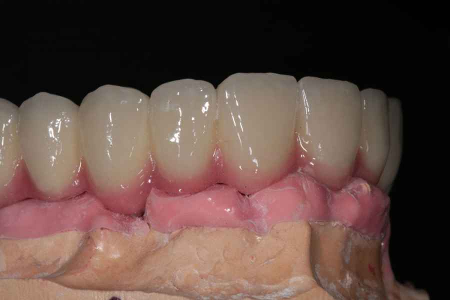
Κάθετη όψη της εργασίας...
Περιστατικό 4
![]()
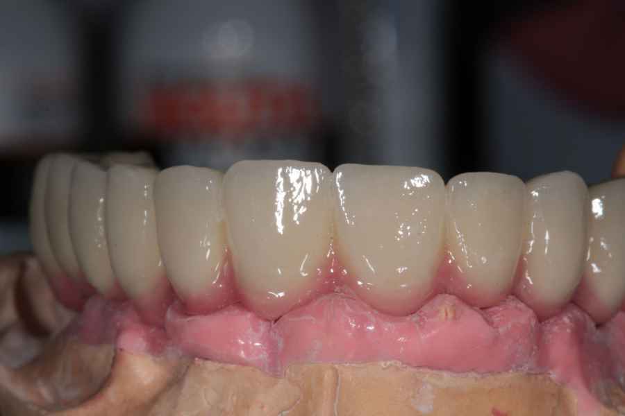
Η εργασία τοποθετημένη
Περιστατικό 4
![]()
Φωτογραφία χαμόγελου...
Περιστατικό 4
![]()
Τελικό αποτέλεσμα
Περιστατικό 4
![]()
Ο ασθενής προσήλθε...
Περιστατικό 5
![]()
Υστέρα από κλινική εξέταση...
Περιστατικό 5
![]()
Αποφασίστηκε η εξαγωγή...
Περιστατικό 5
![]()
Αποφασίστηκε η εξαγωγή...
Περιστατικό 5
![]()
Αποφασίστηκε η εξαγωγή...
Περιστατικό 5
![]()
Τοποθετήθηκαν τα εμφυτεύματα...
Περιστατικό 5
![]()
Μας παρότρυνε να...
Περιστατικό 5
![]()
Σε λιγότερο από 48 ώρες...
Περιστατικό 5